Les Data Challenges en santé
“Une approche innovante et participative qui favorise l'émergence et le partage de solutions inédites en santé numérique”

Les Data Challenges sont des compétitions en science des données qui visent à répondre à des problématiques médicales précises à l’aide de l’analyse des données mises à disposition.
Il s’agit plus précisément de résoudre, en un temps imparti, une problématique spécifique de data science grâce à des solutions d’apprentissage automatique. Ces compétitions se déroulent en ligne et sont généralement des problèmes de prédiction, de régression ou de classification, préalablement formulés sur la base de larges jeux de données et mis à disposition des compétiteurs.
En s’inscrivant dans une démarche d’intelligence collective et d’ouverture de la science, l’idée pour les organisateurs et les compétiteurs est de mettre leurs forces en commun afin d’accéder, à l’état de l’art de la problématique scientifique, statistique ou technique posée.
L’origine de l’initiative Data Challenges en santé
Dans le cadre du plan France 2030, le Gouvernement a lancé la stratégie d’accélération « Santé Numérique » visant à préparer l’avenir et faire de la France un leader en santé numérique. C’est dans ce contexte que la Délégation ministérielle au Numérique en Santé, le Secrétariat général pour l’investissement, chargé de France 2030, et le Health Data Hub ont lancé l’initiative Data Challenges en santé.
Ainsi, depuis 2020, par le biais des appels à projets “Data Challenges en santé”, le HDH accompagne des acteurs de l'écosystème de la santé dans l’organisation de projets de Data Challenges portant sur des thématiques médicales d’intérêt et à portée internationale. Ces projets bénéficient d’un soutien financier de Bpifrance ainsi que d’un accompagnement logistique, technique et organisationnel de bout en bout par les équipes du Health Data Hub.
Découvrez et participez aux compétitions Data Challenges en santé
Les Data Challenges en santé sont des compétitions ouvertes à tous et d’envergure internationale. Aucun prérequis n’est nécessaire, l’inscription et la participation sont gratuites.
Pour ne rien rater, vous pouvez vous inscrire à notre newsletter pour être informé du lancement de tous nos Data Challenges.
Nos Data Challenges en santé à venir
Le Health Data Hub accompagne actuellement différents partenaires issus de l’écosystème de la santé dans l’organisation de Data Challenges portant sur des bases de données inédites et des thématiques médicales variées.
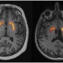
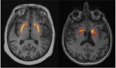
- Le Data Challenge Dat-Hub : dans le domaine de la neurologie, la Société Française de Médecine Nucléaire organise un challenge consacré aux syndrômes parkinsoniens. Les participants auront pour mission de développer un algorithme contribuant au diagnostic de ces syndrômes aux formes multiples. Des données d’imagerie cérébrale, appelées DatScan, de plusieurs milliers de patients seront mises à disposition pour le challenge.
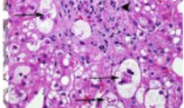
- Le Data Challenge Annit-IA : organisée par une équipe de l’IHU ICAN, cette compétition portera sur la stéatose hépatique non alcoolique (NAFLD), une maladie caractérisée par une accumulation excessive de graisse du foie, qui toucherait aujourd’hui 25 % de la population générale. Ce Data Challenge aura pour objectif de stratifier le risque de progression de la maladie en modélisant l’évolution de l’état de santé du patient.
- Le Data Challenge CardI-HACK : porté par une autre équipe projet de l’IHU ICAN, cette compétition se penchera sur les cardiomyopathies hypertrophiques (CMH) chez les moins de 40 ans, afin d’identifier de nouveaux scores biocliniques capables de mieux prédire leur diagnostic. Le Data Challenge combinera des données génétiques et cliniques.
- Le Data Challenge AID-Oral (AP-HP) vise à développer des algorithmes analysant des photographies de lésions orales, afin d’en extraire des caractéristiques morphologiques et structurelles, non visibles à l’œil nu, puis de les corréler à un diagnostic et à un risque de transformation maligne.
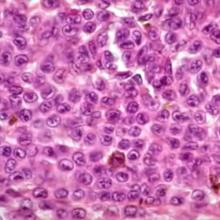
- Le Data Challenge RESPRED-UC (Hôpital Foch) porte sur le cancer urothélial de la vessie. Alors que seuls 20 % des patients sont répondeurs à l’immunothérapie, le projet ambitionne de développer des solutions d’IA capables de prédire la réponse aux immunothérapies à partir des images numériques des lames anatomopathologiques de cancer urothélial de la vessie, permettant une approche personnalisée, en identifiant les patients répondeurs.
- Le Data Challenge ML-KIDCAR (IHU ICAN) vise à développer des modèles d’apprentissage profond capables de détecter la survenue d’insuffisance rénale aiguë après une chirurgie cardiaque, grâce à des données opératoires.
- Le Data Challenge MYOCARDIA (MIRACL.ai) a pour objectif de développer des algorithmes capables de classer correctement les myocardites aiguës à partir d’IRM cardiaques, afin d’améliorer la prise en charge des patients.
- Le Data Challenge OutsAIder (GHU Paris Psychiatrie et Neurosciences) s’intéresse au lien entre santé mentale et art brut et cherche à développer des solutions d’IA capables de caractériser des œuvres d’art brut (productions de personnes exemptes de culture artistique) et de les corréler à un diagnostic psychiatrique
Retour sur les Data Challenges finalisés
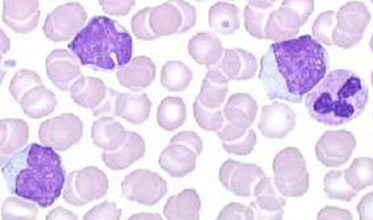
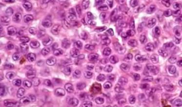
- Le Data Challenge CYTOLOGIA x Sommet pour l’action sur l’IA : porté par le Groupe Francophone d’Hématologie Cellulaire en partenariat avec Algoscope, le challenge portait sur l’analyse de plus de 70 000 images de leucocytes normaux et pathologiques issus de frottis sanguins. L’objectif du défi était de faire émerger des solutions fiables et accessibles pour automatiser l’analyse et la classification des leucocytes et ainsi permettre de proposer un diagnostic rapide et exact aux patients, peu importe leur localisation géographique.
A l’issue de 6 semaines de compétition où près de 250 équipes du monde entier se sont affrontées, plus de 2 000 modèles ont été soumis et les trois meilleurs ont atteint des scores dépassant 93 % de précision. Les modèles récompensés sont disponibles en open source.
Le Data Challenge Cytologia et ses résultats ont été mis à l’honneur à l’occasion du Sommet pour l’action sur l’intelligence artificielle qui a eu lieu à Paris en février 2025.
Découvrez plus en détail les lauréats et leurs résultats via le replay de la Journée de l’open science en santé du 4 juin 2025.
- Le Data Challenge DigiLUT : porté par l’Hôpital Foch, la compétition à été lancée en juin 2024 et avait pour objectif de développer un modèle d’apprentissage automatique capable de prédire la présence de signes de rejet chez un patient greffé pulmonaire. Les compétiteurs ont disposé d’une base de données anonymisées comprenant 2 500 lames d’anatomopathologie numérisées de biopsies pulmonaires de patients greffés. L’objectif final vise à automatiser l'identification des zones pathologiques dans les tissus pulmonaires, un élément clé pour améliorer la reproductibilité des diagnostics et ainsi mieux gérer la prise en charge des patients transplantés.
Après deux mois de compétition ayant rassemblé plus de 250 équipes à l’échelle internationale, plus de 1 200 modèles ont été développés et testés pour tenter de répondre à la problématique.
Un événement de remise des prix a eu lieu le 14 novembre 2024 à PariSanté Campus, le replay de l'événement est disponible ici.
Retrouvez les algorithmes lauréats du Data Challenge DigiLut publiés en open source ici.
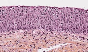
- Le Data Challenge TissueNet : porté par la Société Française de Pathologie, les participants ont eu pour objectif de créer des modèles d’apprentissage automatique capables de détecter les lésions épithéliales les plus sévères du col utérin sur la base de l’analyse de près de 5 000 lames de biopsie numérisées. La compétition s’est déroulée de septembre à octobre 2020 et a rassemblé près de 550 compétiteurs. Les résultats sont prometteurs avec des scores de performance allant jusqu’à 95 % de prédictions correctes.
Retrouvez les algorithmes lauréats du Data Challenge TissueNet publiés en open source ici.
Découvrez les publications en lien avec le Data Challenge TissueNet :
-> Plus d’informations sur les résultats de la compétition ici.
- Le Data Challenge VisioMel : porté par la Société Française de Pathologie, la Société Française de Dermatologie, le Groupe de Cancérologie Cutanée et le Conseil National Professionnel des Pathologistes , ce Data Challenge a eu pour objectif de prédire la probabilité de récidive de mélanomes dans les cinq ans suivant le diagnostic initial à partir de l’analyse de lames de biopsies numérisées de près de 2 000 patients. La compétition s’est déroulée de mars à mai 2023 et a rassemblée près de 600 participants venant du monde entier. 637 algorithmes ont été soumis jusqu’à la clôture de la compétition, donnant lieu à des résultats très encourageants : en moyenne, les algorithmes des lauréats ont correctement détecté 73 % des cas de rechutes et 75 % des cas qui n’ont pas rechuté à cinq ans. Des analyses supplémentaires sont actuellement en cours pour déterminer si les algorithmes se révèlent performants dans certaines catégories diagnostiques spécifiques.
Une cérémonie de remise des prix, organisée le 25 mai 2023 à PariSanté Campus, a permis de récompenser les lauréats à la compétition et de présenter les premiers résultats.
Retrouvez les algorithmes lauréats du Data Challenge VisioMel publiés en Open Source ici.
Découvrez les résultats et les interviews des lauréats à la compétition ici.
- Le Data Challenge D-IA-GNO-DENT : porté par les Hôpitaux Universitaires de Strasbourg, cette compétition s’est concentrée sur le sujet des maladies orales et dentaires rares. L’objectif pour les participants était de proposer des algorithmes de diagnostic automatique à partir de photographies de dents de 200 patients en identifiant les traits caractéristiques de ces maladies génétiques. La compétition a eu lieu d’avril à juillet 2023, et a rassemblée une centaine d’équipes qui ont soumis plus de 1 450 modèles, avec des scores allant jusqu’à 0,8385. Une cérémonie de remise des prix, organisée en décembre 2023, afin de récompenser les gagnants et de présenter les premiers résultats et la suite des travaux.
Retrouvez les algorithmes lauréats du Data Challenge D-IA-GNO-DENT publiés en Open Source ici.
Découvrez la présentation des résultats par les lauréats ici.
-> Plus d’informations sur les résultats de D-IA-GNO-DENT ici.
- L’Allergen Chip Challenge : mené par la Société Française d’Allergologie, ce Data Challenge a eu comme objectif de développer un algorithme capable de prédire la présence ou non d’une maladie allergique et sa sévérité à partir de données immunologiques de près de 3 000 patients. Ce challenge espère voir émerger des solutions innovantes qui pourront améliorer la prise en charge des patients allergiques. Clôturée mi-juillet 2023, la compétition a rassemblée près de 300 participants qui ont soumis plus de 3 000 algorithmes à travers le monde. Une remise des prix a été organisée en novembre 2023, afin de récompenser les lauréats.
Retrouvez les algorithmes lauréats de l’Allergen Chip challenge publiés en Open Source ici.
Porteur de projet ? Organisez votre compétition sur une thématique médicale d’intérêt !
La Délégation ministérielle au Numérique en Santé, le Secrétariat général pour l’investissement, echargé de France 2030, et le Health Data Hub sont à l’origine d’appels à projets “Data Challenges en santé” auxquels les acteurs de l’écosystème désireux d’organiser leur propre compétition peuvent candidater. A l’occasion d’une troisième édition, l'initiative est renouvelée à travers un appel à projets du même nom.
La prochaine relève des candidatures aura lieu le 30 juin 2025 : déposez votre candidature ici.
Retrouvez le replay du webinaire du 29 avril 2025 dédié à la présentation de l’AAP et aux modalités de candidature ainsi que la session d’information [Bpifrance x HDH] du 5 juin 2025 sur la méthodologie et les bonnes pratiques pour candidater à l'AAP Data Challenges en santé.
Vous pouvez également retrouver toutes les informations sur l’AAP “Data Challenges en santé” sur le lien suivant ou en nous contactant à l’adresse suivante : data.challenge@health-data-hub.fr
Les lauréats bénéficient d’un soutien financier de Bpifrance dans le cadre du programme Grand Défi et d’un accompagnement du Health Data Hub sur les plans organisationnel, logistique et technique.
Les bonnes pratiques pour organiser un Data Challenge en Santé
L’organisation d’un Data Challenge en santé requiert des étapes de cadrage scientifique, méthodologique, financier et règlementaire spécifiques à la réutilisation de données de santé.
Pour mener un projet de ce type de façon conforme, en particulier sur le plan réglementaire, et obtenir des résultats robustes, il est important de s’informer sur les bonnes pratiques à suivre pour organiser un Data Challenge en santé.
Découvrez le MOOC “Data Challenges en santé” pour vous former sur ces bonnes pratiques.
Retrouvez également tous les éléments de bonnes pratiques en téléchargeant notre Kit Data Challenge.
Les publications en lien avec les Data Challenges en santé :